Advertisement

Cerebral Venous Sinus Thrombosis - Cerebral Venous Sinus Thrombosis Cvst By Lazoithelife Issuu - Cerebral venous thrombosis (cvt), also called cerebral venous sinus thrombosis (cvst), is a cerebrovascular disease with diverse clinical manifestations that often affects young adults, women of childbearing age, and children.

Cerebral Venous Sinus Thrombosis - Cerebral Venous Sinus Thrombosis Cvst By Lazoithelife Issuu - Cerebral venous thrombosis (cvt), also called cerebral venous sinus thrombosis (cvst), is a cerebrovascular disease with diverse clinical manifestations that often affects young adults, women of childbearing age, and children.. An unusual diagnosis and management of cerebral venous thrombosis: Cerebral venous sinus thrombosis in early pregnancy: We aimed to update the previous european federation of neurological societies guidelines using a clearer and. Another had involvement of the straight sinus, vein of galen, and internal cerebral veins; This prevents blood from draining out of the brain.

We aimed to update the previous european federation of neurological societies guidelines using a clearer and. Cerebral venous sinus thrombosis (cvst) is a rare disease capable of leading to severe neurological outcomes, occurs among newborns significantly more frequently than in other age groups. Little is known concerning the corresponding diagnostic value of. Clinical manifestations can include headache, papilledema, visual loss, focal or generalized seizures, focal neurologic deficits, confusion, altered consciousness, and coma. As a result, blood cells may break and leak blood into the brain tissues, forming a hemorrhage.

Cerebral Vein And Dural Sinus Thrombosis Intechopen
Cerebral Vein And Dural Sinus Thrombosis Intechopen from www.intechopen.com
Another had involvement of the straight sinus, vein of galen, and internal cerebral veins; Cerebral venous thrombosis is an important cause of stroke especially in children and young adults. Recommendations on the evaluation and management of cerebral venous thrombosis during pregnancy and in the pediatric population are provided. Assessment of normal flow velocity in basal cerebral veins. Thrombosis of the venous channels in the brain is an uncommon cause of cerebral infarction relative to arterial disease, but it is an important consideration because of its potential morbidity. Cerebral venous sinus thrombosis is a rare entity. Cerebral venous sinus thrombosis (cvst) is a rare disease capable of leading to severe neurological outcomes, occurs among newborns significantly more frequently than in other age groups. Clinical manifestations can include headache, papilledema, visual loss, focal or generalized seizures, focal neurologic deficits, confusion, altered consciousness, and coma.

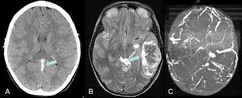
Imaging of cerebral venous thrombosis.

Common subtypes include transverse sinus thrombosis and superior sagittal sinus. We aimed to update the previous european federation of neurological societies guidelines using a clearer and. Silvis, sini hiltunen, et al. In this regard, headache is often the only complaint of patients with thrombosis of cerebral venous sinuses. This prevents blood from draining out of the brain. Clinical manifestations can include headache, papilledema, visual loss, focal or generalized seizures, focal neurologic deficits, confusion, altered consciousness, and coma. Acute symptomatic seizures in cerebral venous thrombosis. К a 1 b a g r. September 6, 2020 by josh farkas. Cerebral venous thrombosis (cvt) is an uncommon but serious disorder. As a result, blood cells may break and leak blood into the brain tissues, forming a hemorrhage. Cerebral venous thrombosis (cvt) or cerebral venous sinus thrombosis (cvst): Many cases have been linked to inherited and acquired.

Cerebral venous sinus density on noncontrast ct correlates with hematocrit. Aha scientific statements ⅲ venous thrombosis ⅲ sinus thrombosis, intracranial ⅲ brain infarction, venous ⅲ stroke ⅲ. A statement for healthcare professionals from the american heart association/american stroke association. Assessment of normal flow velocity in basal cerebral veins. A thrombotic obstruction of the cerebral veins and/or related anatomical structures (dural sinuses) which drain blood from the brain.

Cerebral Venous Sinus Thrombosis Cvst By Lazoithelife Issuu
Cerebral Venous Sinus Thrombosis Cvst By Lazoithelife Issuu from image.isu.pub
We aimed to update the previous european federation of neurological societies guidelines using a clearer and. Silvis, sini hiltunen, et al. (a) ct scan of head with contrast (1 mm axial) showing left transverse sinus thrombosis. Thrombosis of cerebral veins and venous sinuses is a rare disease, which accounts for less than 1% of all cases of stroke. Cerebral venous sinus thrombosis (cvst) is the presence of a blood clot in the dural venous sinuses, which drain blood from the brain. Cerebral venous sinus thrombosis created by paul young 22/11/07. H u h n a. Thrombosis of the venous channels in the brain is an uncommon cause of cerebral infarction relative to arterial disease, but it is an important consideration because of its potential morbidity.

К a 1 b a g r.

Imaging of cerebral venous thrombosis. Cerebral venous thrombosis (cvt), also called cerebral venous sinus thrombosis (cvst), is a cerebrovascular disease with diverse clinical manifestations that often affects young adults, women of childbearing age, and children. September 6, 2020 by josh farkas. Cerebral venous sinus thrombosis occurs when a blood clot forms in the brain's venous sinuses. A thrombotic obstruction of the cerebral veins and/or related anatomical structures (dural sinuses) which drain blood from the brain. And a third patient had thrombosis of the deep medullary veins. A transcranial doppler ultrasound study. Characteristic, but rare, is the occurrence of unilateral hemispheric. Common subtypes include transverse sinus thrombosis and superior sagittal sinus. Cerebral venous sinus thrombosis is a rare entity. Valdueza j.m., schmierer k., mehraein s., einhдupl k.m. Cerebral venous sinus thrombosis (cvst) is the presence of a blood clot in the dural venous sinuses, which drain blood from the brain. See that article for a discussion of that specific clinical entity.

One patient had thrombosis in both the superficial and deep systems; Efns guideline on the treatment of cerebral venous and sinus thrombosis. Venous thrombosis may cause involvement of multiple areas of the brain which extend across numerous different arterial circulations. Aha scientific statements ⅲ venous thrombosis ⅲ sinus thrombosis, intracranial ⅲ brain infarction, venous ⅲ stroke ⅲ. Acute symptomatic seizures in cerebral venous thrombosis.

Thrombosis Of The Cerebral Veins And Sinuses Nejm
Thrombosis Of The Cerebral Veins And Sinuses Nejm from www.nejm.org
Cerebral venous thrombosis (cvt) is an uncommon but serious disorder. Characteristic, but rare, is the occurrence of unilateral hemispheric. Aha scientific statements ⅲ venous thrombosis ⅲ sinus thrombosis, intracranial ⅲ brain infarction, venous ⅲ stroke ⅲ. Clinical manifestations can include headache, papilledema, visual loss, focal or generalized seizures, focal neurologic deficits, confusion, altered consciousness, and coma. See that article for a discussion of that specific clinical entity. A thrombotic obstruction of the cerebral veins and/or related anatomical structures (dural sinuses) which drain blood from the brain. Thrombosis of cerebral veins and venous sinuses is a rare disease, which accounts for less than 1% of all cases of stroke. A transcranial doppler ultrasound study.

Characteristic, but rare, is the occurrence of unilateral hemispheric.

Valdueza j.m., schmierer k., mehraein s., einhдupl k.m. Demographics of affected patients reflects underlying predisposing factors, which are identified in the majority of cases (87.5%) with many patients having. Another had involvement of the straight sinus, vein of galen, and internal cerebral veins; An unusual diagnosis and management of cerebral venous thrombosis: Acute symptomatic seizures in cerebral venous thrombosis. Clinical manifestations can include headache, papilledema, visual loss, focal or generalized seizures, focal neurologic deficits, confusion, altered consciousness, and coma. Cerebral venous thrombosis (cvt), also called cerebral venous sinus thrombosis (cvst), is a cerebrovascular disease with diverse clinical manifestations that often affects young adults, women of childbearing age, and children. A thrombotic obstruction of the cerebral veins and/or related anatomical structures (dural sinuses) which drain blood from the brain. See that article for a discussion of that specific clinical entity. Aha scientific statements ⅲ venous thrombosis ⅲ sinus thrombosis, intracranial ⅲ brain infarction, venous ⅲ stroke ⅲ. Cerebral venous sinus thrombosis (cvst) is the presence of a blood clot in the dural venous sinuses, which drain blood from the brain. Silvis, sini hiltunen, et al. К a 1 b a g r.

Post a Comment

0 Comments